I swear, I never intended for this blog to become a “Let’s talk about rare medical conditions” blog, but life happens. And as this blog reflects my life, and I become diagnosed with more and more things, I end up sharing what I learn, which makes this blog a repository of information about some uncommon and sometimes rare syndromes, ranging from Ehlers-Danlos syndrome to No Burp Syndrome/RCPD to idiopathic intracranial hypertension, in order of when I got my diagnoses. It is what it is, and, fortunately, because of my blog and the information in these posts, people who’ve read them have discovered that they have these things as well, have gone to doctors, and have been diagnosed. So it has been helpful in addition to being informative and an update on my life.
But anyhow, the reason for this post now is that I appear to be heading for yet another diagnosis. Not for another issue, but for the reason behind many of the issues I’ve been having.
Back in May, I was hospitalized for a headache that wasn’t going away and was diagnosed with idiopathic intracranial hypertension, meaning that I had extra pressure inside my head for unknown reasons. The cerebrospinal fluid—the fluid that goes around the brain and down the spinal column—is too pressurized, which puts pressure on the brain and causes symptoms like headaches, tinnitus, dizziness, pressure, feeling hot all the time, tiredness, and more. For many people it causes vision issues and can lead to blindness, but fortunately for me my vision issues aren’t connected and aren’t dangerous. They’re just “garden variety” EDS-related issues. It is diagnosed by a spinal tap, which measures the pressure of the cerebrospinal fluid, as well as an MRI, which can show an empty sella—meaning the pituitary gland is pressed flat because of the pressure so that part of the brain looks empty.
Idiopathic means they don’t know the cause of it, which means the treatment is complicated. They do know that it is more common among people who are heavier, so weight loss is the first thing they recommend to people suffering from it. They also put you on medication to lower the production of cerebrospinal fluid, called Diamox. Some people do well with regular spinal taps to lower the pressure, but I had a bad post–spinal tap reaction, probably a cerebrospinal fluid leak because of my EDS (more common with us), so that isn’t an option for me. I never felt better post spinal tap anyhow—just switched one issue for another. Some people with extreme cases get a shunt to remove cerebrospinal fluid from their brain, but it probably would be bad for me anyhow because of my post–spinal tap reaction, and I don’t have a bad enough case for that.
I’ve since lost a good 12 kilos, or about 25 lbs., on a gradual weight loss journey, but there hasn’t been the slightest change in my symptoms. I’ve still had a constant headache that hasn’t let up since May, though it does change in severity, going between a two and a six or seven, but mostly staying around a three on the pain scale. I feel like my head is a balloon that is blown up a bit too much. The Diamox that I was on didn’t make any difference to my symptoms.
I went to a pain clinic that focuses on headaches, and they tried doing something called a sphenopalatine ganglion block, where they put lidocaine high up your nose to a cluster of nerves to numb it, which is supposed to stop headaches and works for many people, but it did nothing for me whatsoever.
At a loss of what to do, especially since the medicine for IIH is a diuretic, but the treatment for POTS (a common side effect of EDS), which I also have, is drinking extra fluids because you need to keep your body well hydrated, I decided to go to a neurologist who is an expert in issues that affect people with Ehlers-Danlos syndrome. He was a three-hour drive away from me, and I needed to pay privately to see him, but I hoped he’d be able to help me figure out how to handle this IIH issue and everything that is coming along with it.
And oh boy.
That appointment was three hours and worth every cent. I think we finally got down to the bottom of what my issue is—what has caused so many different, seemingly unrelated issues.
It appears that my intracranial hypertension is not idiopathic, meaning there is a known reason for it.
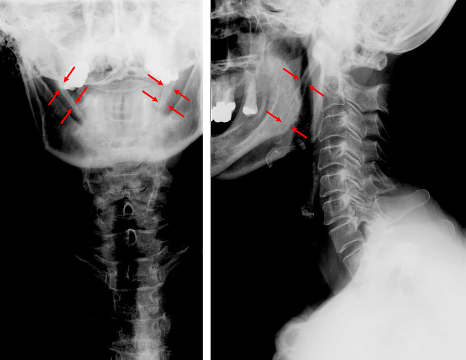
The doctor suspected I have something called Venous Eagle Syndrome. Eagle Syndrome is a rare syndrome (about 0.16% of the population has it) where a needle-like bone near the ear called the styloid process is too long, or the stylohyoid ligament is calcified and rigid and presses on something, often the throat, causing issues with swallowing or speaking. But a subtype of Eagle Syndrome has it pressing either on the carotid artery or, suspected in my case, on my internal jugular vein. This is also called styloidogenic jugular venous compression syndrome, which, in medical speak, literally means the jugular vein is compressed by the styloid.
In order to test for Venous Eagle Syndrome, the doctor sent me for a CT of my head and neck with contrast, and the results were pretty conclusive: I have an elongated styloid process—mine is 33 millimeters (25–30 mm is normal)—and it is pressing on my jugular vein on both sides. I have pulsatile tinnitus, one of the symptoms of Venous Eagle Syndrome, and it stops when I press on my jugular, which is further evidence that this is the reason for my symptoms. I am now waiting for an appointment with the one doctor in my country who works with Venous Eagle Syndrome and have connected with a WhatsApp group of about 25 people in my country with Eagle Syndrome to discuss what my next steps should be.
But this answers so many of my questions and provides reasons for things that I never would have thought connected.
The connection between Venous Eagle Syndrome and IIH is that when there is pressure on the jugular vein making it harder for the blood to leave the brain area, there is more blood in the brain, which puts more pressure on the cerebrospinal fluid and gives you all the symptoms of IIH. That makes sense. And it would make sense why my head feels like an overfilled balloon, because of the extra blood there.
After doing this research, I did some more digging. Because of the rarity of Eagle Syndrome, with Venous Eagle even rarer, it’s hard to find much information out there about it and its symptoms, but I was able to find out some of the following.
Dizziness. When I did my tilt table test for POTS it didn’t show POTS; the blood pressure cuff was too small, so it was incorrect to begin with, but it showed that I definitely had orthostatic intolerance—dizziness and such that worsen when standing. Guess what is connected to venous Eagle syndrome? Orthostatic intolerance. (POTS is as well, but it’s not the only type of orthostatic intolerance.)
Heat intolerance, which I suffer from tremendously (and is why I have air conditioning running even in the winter in my home), is also caused by the pressure in the brain caused by Venous Eagle Syndrome.
Tinnitus, especially pulsatile tinnitus, is often one of the diagnostic signs of Venous Eagle Syndrome. Yay. That explains this annoyance.
Extreme fatigue is a common symptom of this syndrome and one I’ve been suffering from for years, and have written about plenty, especially recently.
Brain fog and visual disturbances are also common symptoms. I associate this with my dissociation, but I wonder if sometimes it is connected to this. Maybe my blood pressure goes up or my heart rate goes up when I get stressed out, and then the blood pools in my brain, causing me visual and cognitive disturbances when I’m stressed out.
Ear Pressure. And then there’s the whole “I can’t have my head underwater without it hurting me from the pressure” thing, which I assumed was just connected to my EDS because of my TMJ issues. But if I have extra pressure in my head from the pressure on my jugular, and in addition the pressure is from a bone right near my ear, it would make sense that any extra pressure from water in my ear would exacerbate symptoms. How that fits into Bengay helping prevent that pain, I’m not sure.
Ear Pain. Another random symptom I’ve never had a reason for and never connected to anything but that really irritates me is that my ears, externally, are super sensitive. I can’t wear regular earphones or headphones—neither earbuds that go inside the ear nor earphones that go over the ear. Anything that presses on the cartilage of my ear hurts me. (The only place that doesn’t hurt is the lobes, so I can wear regular earrings, fortunately.) It’s possible that with everything that’s going on in my head, and especially around my ears, the nerves around my ears are extra reactive.
Anyhow, I have to see what the specialist says when I finally get to see him to confirm that it is, in fact, Venous Eagle Syndrome.
The thing is…
It is kind of disappointing and also hopeful.
Disappointing because I switched to a new medication called Topamax, hoping that it would help when the Diamox didn’t. But if the issue isn’t too much cerebrospinal fluid but, in fact, blood pooling, will the medication make any difference? Maybe it will anyhow, but I’m not being hopeful.
I also lost weight and so far no change. If there’s a structural cause for the intracranial hypertension and it isn’t related to weight, further weight loss won’t fix my issue either.
But also hopeful because there is a treatment for Venous Eagle Syndrome. It is invasive, but it is surgery to either shave off the end of or completely remove the styloid process, and sometimes to reconstruct the area that was compressed by the styloid process, which I probably wouldn’t need.
But not hopeful because the doctors in my country are inexperienced with this syndrome, and the people in my country who’ve had this surgery have had to get it done outside the country. Insurance has paid for it, but I’m not sure my insurance would say mine is bad enough that they’d pay for me to get it done.
Either way, I’m just happy to have some answers, or at least to be pointed in the right direction.




One Response
It’s good to finally have a real name for your pain, problems…